Cosmetic Dental Treatments at Dental Smiles Takeley

Cosmetic Dentistry

Cosmetic Dentistry

Some of our cosmetic dental treatments are outlined on this page, including composite fillings, veneers, and porcelain onlays and crowns.

View Prices

Book a consultation or call 01279 879526

Contact Us
Composite fillings

Composite Fillings

Most of our patients opt for ‘white’ composite fillings. These fillings restore teeth by bonding to the tooth surface and the tooth appears natural at the end of treatment making them almost unnoticeable.

We also offer composite bonding. You can view more detail about this and see some of our patients’ smiles before and after treatment at Composite Bonding Essex.

Learn more

Veneers

Veneers are a layer of thin porcelain that is bonded to the front surface of a tooth. They are used to cover cosmetic issues with your front teeth such as tooth position, shape or colour. A small amount of tooth preparation is needed so that is the correct shape for the veneer but this is often as minimal as is possible.

It is also possible to have composite resin veneers and these are often bonded directly to the tooth surface with often no or little tooth preparation.

Learn more

Porcelain Onlays and Crowns

In cases where the hole is too large to just fill with composite, we recommend onlays or crowns as otherwise what remains of the tooth is often at risk of fracturing.

An onlay or crown restores the cavity and extends enough to protect the remaining structure of the tooth from fracturing. A crown is a more extensive form of an onlay but requires more tooth preparation.

Learn more

Case Study – Porcelain Veneers and Whitening

IMG_9647.jpg

This result was achieved by placing a number of porcelain veneers and crowns. The lower teeth were whitened with a custom home whitening kit.

To find out more about Veneers and Teeth Whitening you can choose to book a consultation or call us on 01279 879526.

View Full Case Study

Our Recent Cosmetic Treatments

Our Patients Before & After

Even and level smile

Help close minor gaps
Help close minor gaps

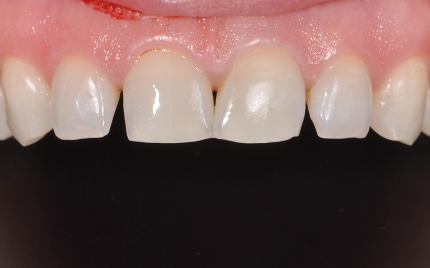
Composite veneers from canine to canine to improve the shape and colour of this patients smile. Trauma & basic dentistry as a child left this poor chap with poorly shaped old fillings and a dark tooth. A difficult case to correct but well worth it in the end with a smile to dazzle.

 Mask mild crowding

Composite bonding to mask mild crowding
Composite bonding to mask mild crowding

This patient’s mild overcrowding has been masked using composite bonding. The results speak for themselves!

Improve colour

Improve tooth colour
Improve tooth colour

Delighted to share with you this composite bonding case from canine to canine. The patient was unhappy with the mottling, colour and shade of their upper teeth. Minimally invasive, maximum result!

Improve shape of teeth

Improve shape of teeth before composite bonding
Improve shape of teeth

Making Great Smiles. A rewarding before and after smile makeover; with Invisalign®, Boutique whitening & direct freehand composite bonding.

Help close minor gaps

This young lady was unhappy with the angle of her teeth and the gaps between them. She was desperate to get them fixed before her summer holiday. One composite bonding session later and we have a patient ready to smile for the camera.

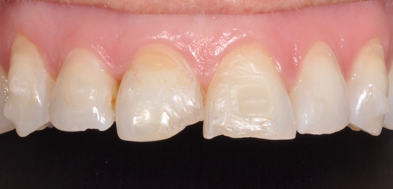
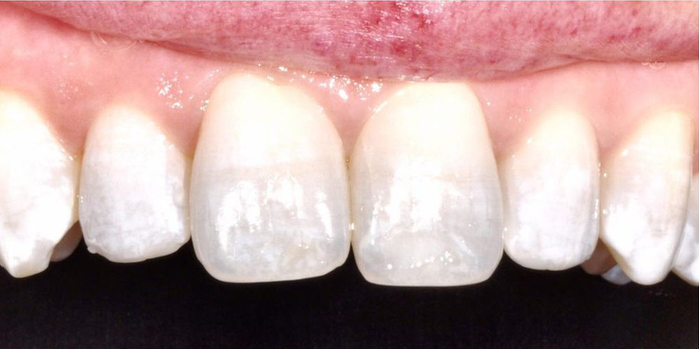
Repair broken and chipped teeth

Repair broken and chipped teeth

A very rewarding case. First we had to sort out the bite to make sure we had space to build up these front teeth then it was letting the magic of composite bonding do it’s work. And Voilá one happy patient!